切换到宽版
 找回密码
 立即注册

QQ登录

只需一步,快速开始

西秦会馆

爆料、咨询:18909006163
广告、合作:13990030637
查看: 4943 | 回复: 14

[盐都杂谈] 42岁壮年突发心梗,右冠脉完全闭塞!专家提醒:这些坏习惯你可能天天在重复

  [复制链接]

2371

主题

2706

帖子

0

听众

Rank: 10Rank: 10

积分
16215
威望
2371 点
铜板
8687 枚
西秦金币
0 个
鲜花
8 朵

在线时间
309 小时
注册时间
2021-7-26
发表于 7 天前 | 显示全部楼层 |阅读模式 | 来自四川
112.jpeg
“事后我才知道,如果当时再晚些就诊,很可能会心跳骤停。”回想起来,郭先生庆幸着自己的劫后余生。
42岁的厨师郭先生,在上班途中突发急性心肌梗死,幸好及时拦住警车求助,直奔上海市东方医院急诊,心血管内科医生紧急植入支架才保住了性命。
“支架只能管一时,自救才能管一世!”东方医院心血管内科主任医师张奇提醒,“支架放入不是一次性把冠心病甚至未来风险都治好了,真正的‘护心’靠的是平时保养。”
正值壮年,缘何突然心梗?
42岁的郭先生是沪上某餐厅厨师,工作常年“黑白颠倒”——下午3时上班,凌晨3时下班,熬夜是家常便饭。他有很重的烟瘾,饮食更是重油重辣、高盐高脂。更关键的是,直到这次住院他才发现自己患有高血脂,冠状动脉里的斑块早已悄然形成。
当天下午,他骑电动车去上班,开到半路突然胸口剧痛、喘不上气、满头大汗、眼花耳鸣,撑不住停在路边。正好有警车路过,他强撑着找到了警察,警车很快将他送到东方医院急诊,为抢救争取了黄金时间。
医生检查发现:郭先生是急性心肌梗死,心脏右冠状动脉的远端已经完全闭塞,没有任何血流通过;之后经手术植入心梗支架后,郭先生终于转危为安。
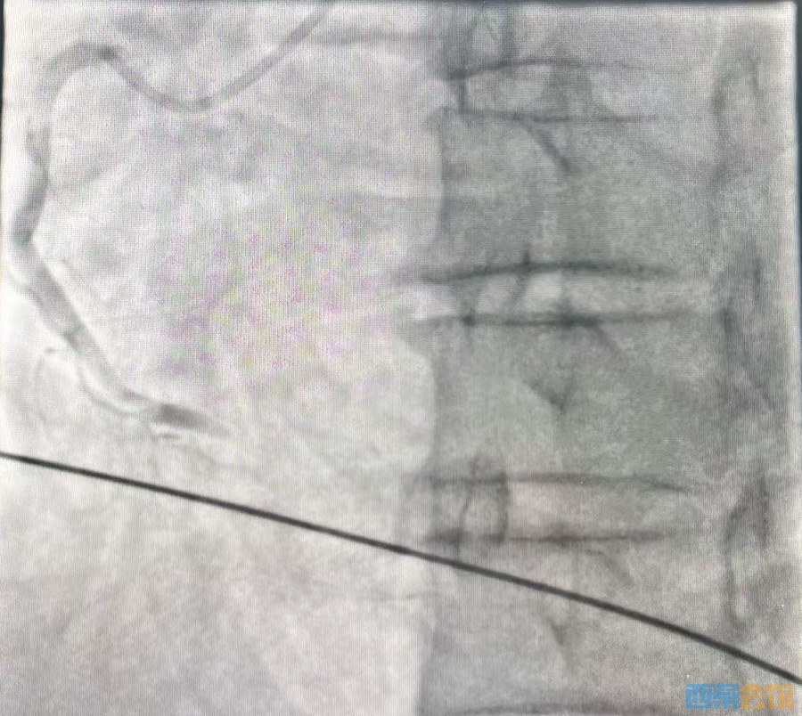
113.jpeg
右冠状动脉的远端完全闭塞,没有任何血流通过
据介绍,长期作息紊乱会打乱交感神经与迷走神经的节律,导致血压波动、炎症因子升高;高脂高盐饮食则加速动脉粥样硬化;吸烟更是直接损伤血管内皮,诱发斑块破裂。郭先生的遭遇,正是多重危险因素叠加后的“总爆发”。
近来,全国多地医院心血管内科迎来了大批主动检查者,然而对多数人而言,更普遍的问题是平时没有护心意识,往往等到风险累积、疾病突然暴发,才追悔莫及。
心梗发病年龄呈年轻化,出现这些症状千万别“硬扛”
《中国心血管健康与疾病报告2023》数据显示,急性心肌梗死发病年龄呈年轻化趋势,住院患者中青年占四分之一。
引发心梗的诱因大多和长期不良生活习惯密切相关。“一根血管,可能3毫米的直径,血栓一旦形成,就会把血流都堵死,发生心肌梗死。这种不稳定斑块的破裂,往往是有一定诱因的,比如抽烟、熬夜、喝酒、过度劳累、情绪激动等。”张奇解释。
再加上很多人自认为年轻、身体好,常常忽视身体发出的预警信号。出现胸闷、胸痛、心慌、左肩放射痛、莫名疲劳时,以为忍一忍就过去了,能自行缓解,却不知道这背后可能是斑块破裂、血栓形成的危险信号,很容易错过最佳救治时间。
1214.jpeg

广告

89

主题

5万

帖子

9

听众

Rank: 12Rank: 12

积分
114943
威望
89 点
铜板
59447 枚
西秦金币
0 个
鲜花
25 朵

在线时间
4597 小时
注册时间
2010-12-21
发表于 7 天前 来自手机 | 显示全部楼层 | 来自四川
路过
回复

使用道具 举报

0

主题

1万

帖子

0

听众

Rank: 10Rank: 10

积分
26511
威望
0 点
铜板
13794 枚
西秦金币
0 个
鲜花
0 朵

在线时间
0 小时
注册时间
2024-2-3
发表于 7 天前 来自手机 | 显示全部楼层 | 来自四川
回复

使用道具 举报

1

主题

2万

帖子

6

听众

Rank: 11Rank: 11Rank: 11

积分
59933
威望
1 点
铜板
31278 枚
西秦金币
0 个
鲜花
0 朵

在线时间
1055 小时
注册时间
2019-1-14
发表于 7 天前 来自手机 | 显示全部楼层 | 来自四川
回复

使用道具 举报

0

主题

3万

帖子

0

听众

Rank: 11Rank: 11Rank: 11

积分
72464
威望
0 点
铜板
37465 枚
西秦金币
0 个
鲜花
0 朵

在线时间
834 小时
注册时间
2022-11-28
发表于 7 天前 来自手机 | 显示全部楼层 | 来自四川
路过
回复

使用道具 举报

0

主题

2万

帖子

0

听众

Rank: 11Rank: 11Rank: 11

积分
53261
威望
0 点
铜板
27492 枚
西秦金币
0 个
鲜花
0 朵

在线时间
251 小时
注册时间
2023-12-13
发表于 7 天前 来自手机 | 显示全部楼层 | 来自四川
回复

使用道具 举报

1493

主题

6万

帖子

18

听众

Rank: 12Rank: 12

积分
151249
威望
1493 点
铜板
78519 枚
西秦金币
0 个
鲜花
103 朵

在线时间
18039 小时
注册时间
2016-10-24
发表于 7 天前 来自手机 | 显示全部楼层 | 来自四川
路过
回复

使用道具 举报

0

主题

4万

帖子

0

听众

Rank: 12Rank: 12

积分
86077
威望
0 点
铜板
44157 枚
西秦金币
0 个
鲜花
75 朵

在线时间
890 小时
注册时间
2022-1-14
发表于 7 天前 来自手机 | 显示全部楼层 | 来自四川
路过
回复

使用道具 举报

90

主题

6万

帖子

15

听众

Rank: 12Rank: 12

积分
136994
威望
0 点
铜板
71687 枚
西秦金币
0 个
鲜花
25 朵

在线时间
10233 小时
注册时间
2005-8-8
发表于 6 天前 来自手机 | 显示全部楼层 | 来自四川
太可怕了!!!!!
回复

使用道具 举报

3

主题

4万

帖子

3

听众

Rank: 12Rank: 12

积分
101846
威望
2 点
铜板
52512 枚
西秦金币
0 个
鲜花
0 朵

在线时间
3079 小时
注册时间
2013-10-16
发表于 6 天前 来自手机 | 显示全部楼层 | 来自四川
路过
回复

使用道具 举报

4132

主题

14万

帖子

35

听众

Rank: 12Rank: 12

积分
338424
威望
4082 点
铜板
166962 枚
西秦金币
0 个
鲜花
1586 朵

原创之星

在线时间
23578 小时
注册时间
2012-4-21
发表于 6 天前 来自手机 | 显示全部楼层 | 来自广西
回复

使用道具 举报

3

主题

4万

帖子

11

听众

Rank: 12Rank: 12

积分
85878
威望
3 点
铜板
45663 枚
西秦金币
0 个
鲜花
0 朵

在线时间
4446 小时
注册时间
2016-6-3
发表于 6 天前 来自手机 | 显示全部楼层 | 来自四川
看看
回复

使用道具 举报

2

主题

5万

帖子

14

听众

Rank: 12Rank: 12

积分
117836
威望
2 点
铜板
62095 枚
西秦金币
0 个
鲜花
0 朵

在线时间
5287 小时
注册时间
2016-3-15
发表于 6 天前 来自手机 | 显示全部楼层 | 来自四川
路过
回复

使用道具 举报

2

主题

5万

帖子

3

听众

Rank: 12Rank: 12

积分
106552
威望
3 点
铜板
55286 枚
西秦金币
0 个
鲜花
0 朵

在线时间
4707 小时
注册时间
2020-10-18
发表于 6 天前 来自手机 | 显示全部楼层 | 来自四川
回复

使用道具 举报

5705

主题

8万

帖子

28

听众

没有最牛,只有更牛

Rank: 12Rank: 12

积分
203056
威望
5696 点
铜板
105224 枚
西秦金币
0 个
鲜花
85 朵

在线时间
9128 小时
注册时间
2010-6-2
发表于 6 天前 来自手机 | 显示全部楼层 | 来自广东
回复

使用道具 举报

    您需要登录后才可以回帖 登录 | 立即注册

    本版积分规则

    快速回复 返回顶部 返回列表