切换到宽版
 找回密码
 立即注册

QQ登录

只需一步,快速开始

西秦会馆

爆料、咨询:18909006163
广告、合作:13990030637
查看: 6609 | 回复: 31

[盐都杂谈] “咔嚓”一声,江苏13岁女孩练舞蹈下腰致瘫痪,只能依靠轮椅生活,医生:几乎每年...

  [复制链接]

1860

主题

1907

帖子

0

听众

Rank: 10Rank: 10

积分
11842
威望
1860 点
铜板
6215 枚
西秦金币
0 个
鲜花
0 朵

在线时间
59 小时
注册时间
2023-6-25
发表于 前天 18:17 | 显示全部楼层 |阅读模式 | 来自四川
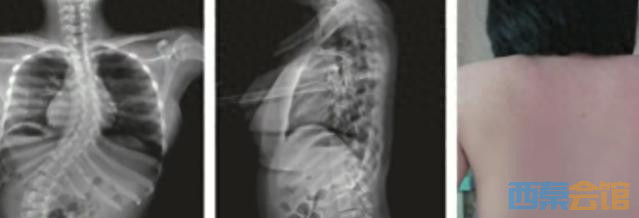
近日,江苏13岁女孩欣欣在练习舞蹈的下腰动作时,不慎受伤导致瘫痪。
南京鼓楼医院脊柱外科行政主任朱泽章介绍,事发时,欣欣在完成下腰动作的瞬间听到“咔嚓”一声,随后向父母和老师反映腰痛、腿麻。遗憾的是,这种损伤一旦发生,往往无法逆转。
74.jpeg
“瘫痪之后,孩子只能依靠轮椅生活,久而久之,脊柱也会出现弯曲。”朱泽章表示,不仅双手生活能力受限,心肺等多个脏器功能也因脊柱变形受到压迫。无奈之下,父母将她送到南京某医院脊柱外科就诊,进行微创矫形治疗。
75.jpeg

76.jpeg
医生指出,像欣欣这样,因为下腰导致瘫痪的病例几乎每年都会出现。他提醒:跳舞时一定要小心,做下腰动作一定要循序渐进,并做好热身、预备动作等。
此外,医生也提醒,孩子在练习舞蹈动作时,一定要接受正规专业的指导,一些特殊运动或者动作非必要不去尝试。

广告

0

主题

9770

帖子

14

听众

Rank: 10Rank: 10

积分
25985
威望
0 点
铜板
16215 枚
西秦金币
0 个
鲜花
0 朵

在线时间
9217 小时
注册时间
2016-8-6
发表于 前天 19:04 来自手机 | 显示全部楼层 | 来自四川
可惜
回复

使用道具 举报

0

主题

3万

帖子

0

听众

Rank: 11Rank: 11Rank: 11

积分
77741
威望
0 点
铜板
40168 枚
西秦金币
0 个
鲜花
0 朵

在线时间
865 小时
注册时间
2017-1-24
发表于 前天 19:04 来自手机 | 显示全部楼层 | 来自四川
回复

使用道具 举报

73

主题

3万

帖子

16

听众

Rank: 11Rank: 11Rank: 11

积分
77384
威望
66 点
铜板
43067 枚
西秦金币
0 个
鲜花
5 朵

在线时间
13806 小时
注册时间
2012-7-27
发表于 前天 19:26 来自手机 | 显示全部楼层 | 来自四川
哎。。。。
回复

使用道具 举报

16

主题

5万

帖子

4

听众

Rank: 12Rank: 12

积分
108706
威望
16 点
铜板
56392 枚
西秦金币
0 个
鲜花
13 朵

在线时间
3816 小时
注册时间
2020-7-31
发表于 前天 19:45 来自手机 | 显示全部楼层 | 来自四川
回复

使用道具 举报

0

主题

2万

帖子

1

听众

Rank: 11Rank: 11Rank: 11

积分
62241
威望
0 点
铜板
32025 枚
西秦金币
0 个
鲜花
25 朵

在线时间
792 小时
注册时间
2017-7-18
发表于 前天 19:49 来自手机 | 显示全部楼层 | 来自山西
小心点
回复

使用道具 举报

3

主题

5万

帖子

10

听众

Rank: 12Rank: 12

积分
112891
威望
3 点
铜板
58935 枚
西秦金币
0 个
鲜花
0 朵

在线时间
5223 小时
注册时间
2013-9-24
发表于 前天 20:12 来自手机 | 显示全部楼层 | 来自四川
伤害了身体,太不值得了。
回复

使用道具 举报

0

主题

3万

帖子

3

听众

Rank: 12Rank: 12

积分
83896
威望
0 点
铜板
43612 枚
西秦金币
0 个
鲜花
45 朵

在线时间
2068 小时
注册时间
2020-12-20
发表于 前天 20:15 来自手机 | 显示全部楼层 | 来自四川
不管做什么都要注意安全
回复

使用道具 举报

28

主题

3万

帖子

5

听众

Rank: 11Rank: 11Rank: 11

积分
78074
威望
28 点
铜板
40850 枚
西秦金币
0 个
鲜花
27 朵

在线时间
4062 小时
注册时间
2019-11-18
发表于 前天 20:58 来自手机 | 显示全部楼层 | 来自四川
可惜了
回复

使用道具 举报

2806

主题

8万

帖子

17

听众

Rank: 12Rank: 12

积分
184640
威望
2806 点
铜板
95712 枚
西秦金币
0 个
鲜花
56 朵

在线时间
11937 小时
注册时间
2012-5-27
发表于 前天 21:01 来自手机 | 显示全部楼层 | 来自四川
回复

使用道具 举报

0

主题

1万

帖子

0

听众

Rank: 11Rank: 11Rank: 11

积分
38641
威望
0 点
铜板
20372 枚
西秦金币
0 个
鲜花
0 朵

在线时间
1535 小时
注册时间
2022-5-31
发表于 前天 21:06 来自手机 | 显示全部楼层 | 来自四川
路过
回复

使用道具 举报

0

主题

1万

帖子

0

听众

Rank: 11Rank: 11Rank: 11

积分
38641
威望
0 点
铜板
20372 枚
西秦金币
0 个
鲜花
0 朵

在线时间
1535 小时
注册时间
2022-5-31
发表于 前天 21:07 来自手机 | 显示全部楼层 | 来自四川
路过
回复

使用道具 举报

240

主题

3万

帖子

17

听众

Rank: 11Rank: 11Rank: 11

积分
78640
威望
240 点
铜板
39712 枚
西秦金币
0 个
鲜花
555 朵

在线时间
15022 小时
注册时间
2017-8-27
发表于 前天 23:27 来自手机 | 显示全部楼层 | 来自四川
回复

使用道具 举报

12

主题

4万

帖子

14

听众

Rank: 12Rank: 12

积分
105233
威望
1 点
铜板
55425 枚
西秦金币
0 个
鲜花
20 朵

在线时间
3843 小时
注册时间
2009-10-5
发表于 昨天 00:01 来自手机 | 显示全部楼层 | 来自新疆
回复

使用道具 举报

106

主题

6万

帖子

17

听众

Rank: 12Rank: 12

积分
157595
威望
106 点
铜板
75032 枚
西秦金币
0 个
鲜花
1656 朵

在线时间
23704 小时
注册时间
2013-6-11
发表于 昨天 00:03 来自手机 | 显示全部楼层 | 来自北京
回复

使用道具 举报

    您需要登录后才可以回帖 登录 | 立即注册

    本版积分规则

    快速回复 返回顶部 返回列表