切换到宽版
 找回密码
 立即注册

QQ登录

只需一步,快速开始

西秦会馆

爆料、咨询:18909006163
广告、合作:13990030637
查看: 6301 | 回复: 11

[盐都杂谈] 女子炸鱼时热油溅入眼睛,眼角膜受损被烫如“磨砂玻璃”

  [复制链接]

673

主题

2572

帖子

0

听众

Rank: 10Rank: 10

积分
8660
威望
673 点
铜板
4742 枚
西秦金币
0 个
鲜花
0 朵

在线时间
673 小时
注册时间
2023-5-17
发表于 2025-10-10 12:30:43 | 显示全部楼层 |阅读模式 | 来自四川
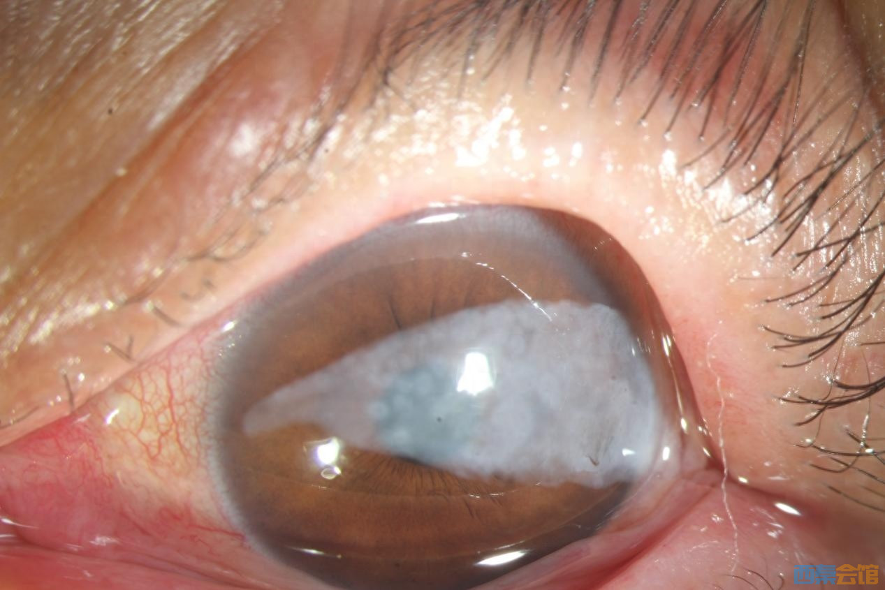
长江日报大武汉客户端10月8日讯武汉市民王女士炸鱼时热油飞溅入眼,导致眼角膜严重烫伤,瞬间视物模糊,黑眼珠被烫伤后发白如同“磨砂玻璃”。经过积极治疗,10月7日复查时,王女士角膜状况已有明显改善,但仍需继续用药观察。
国庆当天,56岁的王女士在家中宴请亲友,不料在炸鱼时热油爆溅而出,正中其左眼及左脸,她当即疼痛难忍、泪流不止,黑眼珠瞬间变白。事发后,家人立即将王女士送往医院处理面部和皮肤的烫伤。鉴于眼部伤势严重,随即又转至湖北爱尔眼科医院寻求专业诊治。
22.jpeg
患者被烫伤的眼睛。
该院眼表及角膜专科副主任医师秦姣检查发现,王女士左眼球结膜充血严重,本应透明的角膜中央上皮出现条带状混浊,表皮坏死,仿佛一块“磨砂玻璃”,部分鼻侧结膜也受到牵连。最终,王女士被确诊为左眼角膜和结膜烧伤。
“热油温度极高,角膜一旦混浊,会直接影响视力。”秦姣立即为患者进行了结膜囊冲洗,以清除残留的油渍和污染物,并制定了药物治疗方案,同时为其祛除“死皮”,佩戴了角膜绷带镜。这种特殊的隐形眼镜犹如一张保护性“创可贴”,覆盖在受损的角膜表面,有效缓解疼痛,并为新生上皮细胞的修复提供良好环境。“幸好烫伤范围不大,否则需行羊膜移植等手术治疗。”
秦姣提醒:烹饪时热油易溅出,一旦溅入眼睛,应迅速用大量清水持续冲洗眼睛15—20分钟,冲洗后可用冷毛巾或冰袋冷敷,以减轻红肿和疼痛。若症状严重或自行处理后未见缓解,务必及时就医。
(通讯员裴霓裳)

广告

4132

主题

14万

帖子

35

听众

Rank: 12Rank: 12

积分
331100
威望
4082 点
铜板
163159 枚
西秦金币
0 个
鲜花
1586 朵

原创之星

在线时间
23578 小时
注册时间
2012-4-21
发表于 2025-10-10 12:43:50 来自手机 | 显示全部楼层 | 来自四川
哦哟
回复

使用道具 举报

101

主题

6万

帖子

16

听众

Rank: 12Rank: 12

积分
142451
威望
30 点
铜板
75141 枚
西秦金币
0 个
鲜花
58 朵

在线时间
12251 小时
注册时间
2006-2-25
发表于 2025-10-10 13:19:10 来自手机 | 显示全部楼层 | 来自四川
注意安全
回复

使用道具 举报

116

主题

5万

帖子

20

听众

幻觉来的太稀薄。。。

Rank: 12Rank: 12

积分
107719
威望
86 点
铜板
57508 枚
西秦金币
0 个
鲜花
1 朵

在线时间
10247 小时
注册时间
2010-3-22
发表于 2025-10-10 13:23:45 来自手机 | 显示全部楼层 | 来自四川
看看啥子
回复

使用道具 举报

99

主题

4402

帖子

13

听众

Rank: 9

积分
12246
威望
46 点
铜板
7727 枚
西秦金币
0 个
鲜花
2 朵
单位

自流井中山口腔门诊部(已退休)

在线时间
1482 小时
注册时间
2006-11-27
发表于 2025-10-10 13:26:18 | 显示全部楼层 | 来自四川
安全事故,无处不在!
回复

使用道具 举报

3

主题

4万

帖子

3

听众

Rank: 12Rank: 12

积分
99421
威望
3 点
铜板
51579 枚
西秦金币
0 个
鲜花
0 朵

在线时间
4707 小时
注册时间
2020-10-18
发表于 2025-10-10 13:51:45 来自手机 | 显示全部楼层 | 来自四川
回复

使用道具 举报

16

主题

4万

帖子

4

听众

Rank: 12Rank: 12

积分
101445
威望
16 点
铜板
52616 枚
西秦金币
0 个
鲜花
13 朵

在线时间
3816 小时
注册时间
2020-7-31
发表于 2025-10-10 14:14:07 来自手机 | 显示全部楼层 | 来自四川
回复

使用道具 举报

0

主题

3万

帖子

0

听众

Rank: 11Rank: 11Rank: 11

积分
68889
威望
0 点
铜板
35559 枚
西秦金币
0 个
鲜花
0 朵

在线时间
810 小时
注册时间
2022-10-7
发表于 2025-10-10 19:07:48 来自手机 | 显示全部楼层 | 来自四川
回复

使用道具 举报

0

主题

3万

帖子

0

听众

Rank: 11Rank: 11Rank: 11

积分
69935
威望
0 点
铜板
36069 枚
西秦金币
0 个
鲜花
0 朵

在线时间
713 小时
注册时间
2022-10-16
发表于 2025-10-10 19:40:08 来自手机 | 显示全部楼层 | 来自四川
回复

使用道具 举报

0

主题

4万

帖子

3

听众

Rank: 12Rank: 12

积分
95427
威望
0 点
铜板
49308 枚
西秦金币
0 个
鲜花
0 朵

在线时间
3632 小时
注册时间
2021-8-13
发表于 2025-10-10 21:03:19 来自手机 | 显示全部楼层 | 来自四川
注意安全
回复

使用道具 举报

1

主题

5万

帖子

3

听众

Rank: 12Rank: 12

积分
109920
威望
1 点
铜板
56700 枚
西秦金币
0 个
鲜花
25 朵

在线时间
3371 小时
注册时间
2020-11-3
发表于 2025-10-11 09:45:08 来自手机 | 显示全部楼层 | 来自四川
回复

使用道具 举报

    您需要登录后才可以回帖 登录 | 立即注册

    本版积分规则

    快速回复 返回顶部 返回列表