切换到宽版
 找回密码
 立即注册

QQ登录

只需一步,快速开始

西秦会馆

爆料、咨询:18909006163
广告、合作:13990030637
查看: 5039 | 回复: 11

[盐都杂谈] 深圳24岁小伙凌晨被发现瘫在床上!喝白酒后误吞150片药!医生:药物中毒

  [复制链接]

1405

主题

1913

帖子

0

听众

Rank: 10Rank: 10

积分
9752
威望
1405 点
铜板
5029 枚
西秦金币
0 个
鲜花
0 朵

在线时间
0 小时
注册时间
2025-3-31
发表于 前天 09:09 | 显示全部楼层 |阅读模式 | 来自四川
总说喝酒误事
最近,24岁的男子林浩(化名)
喝白酒后一时糊涂
吞下了150片药
被发现时已意识模糊
年轻的生命危在旦夕!

抢救不顺利 洗胃后仍昏迷


不久前的一天,凌晨1点,林浩的姐姐发现弟弟一身酒气、意识模糊,又一眼看到床头柜上的空药瓶,担心弟弟做了傻事,赶紧送医。后经推算,此时距林浩服药已过去3小时。

经北大深圳医院急诊科医生判断,林浩的确为药物中毒,迅速启动急救流程——留置胃管、反复洗胃吸出混着药渣的胃内容物,同时开展补液、护胃、导泻等治疗。

令人焦急的是
常规洗胃后
林浩的意识不仅没有好转
反而从嗜睡彻底陷入昏迷
送检的血药浓度结果
更是持续升高
远超重度中毒阈值
医生警觉
这不符合常规药物吸收规律
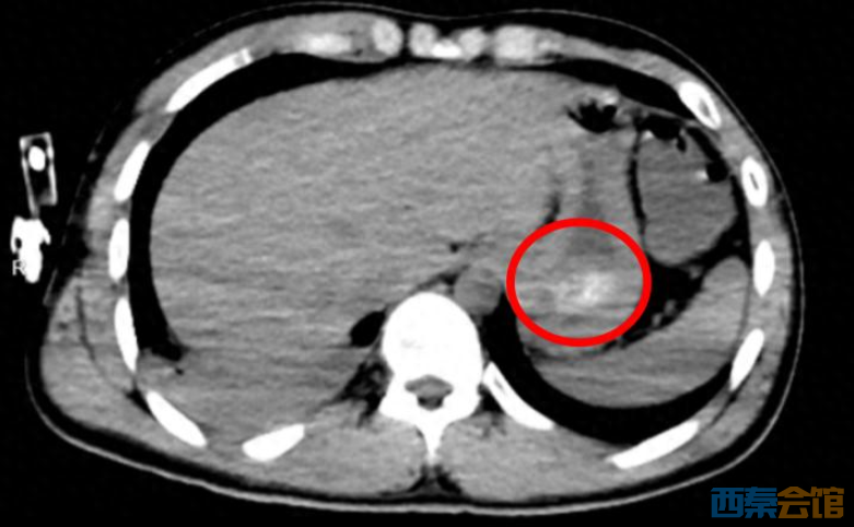
ScreenShot_2026-04-13_085342_151.png
经全腹CT检查证实,林浩胃底存在大量团块状高密度影,也就是常规洗胃无法清除的“药石”,同时胸部CT显示其双肺出现渗出性病变,已引发吸入性肺炎。医生解释:

罪魁祸首就是胃里
持续释放毒性的”药石“
叠加吸入性肺炎
随时可能导致多器官衰竭

43分钟,致命药石终于“拆除”


情况危急,中毒快反团队立即联合EICU医务人员、消化内科组建MDT团队,敲定“胃镜下取药石”的救治方案。家属同意后,林浩被转入EICU,全麻行气管插管保护气道。

消化内科医生操作内镜发现,食管管腔布满黄色药渣,胃底被一大团质软易碎的药石堵得严严实实。“既要彻底清除药渣,又要避免将碎药片冲进肠道加速吸收。”医生凭借精准手感,用圈套器捣碎药团,再以生理盐水反复冲洗、抽吸。捣碎、冲洗、抽吸,这样重复43分钟,直到内镜下无任何药渣残留,这场“拆毒”手术才算完成。

术后第二天,林浩神志彻底清醒,血药浓度逐步下降至安全范围,住院3天后便康复出院。
警惕药物中毒雷区

北大深圳医院中毒医疗救治基地每年接诊上百例口服药物中毒患者,精神类药物、安眠药过量占比最高,其次是降压药、降糖药误服。对此,专家特别梳理三大常见误区,提醒大家规避:
01
误区一:药物中毒,催吐就够了

盲目催吐是最危险的操作。对于意识模糊的患者,催吐易导致呕吐物误吸入气管,引发窒息或吸入性肺炎;即便意识清醒,自行催吐对缓释制剂、大量片剂等情况也无效,还可能损伤食道、胃黏膜。
02
误区二:只有头孢配酒才会出事

“头孢配酒,说走就走”并非唯一风险。安眠药、抗抑郁药、降压药、降糖药、抗过敏药等与酒精同服,都会引发严重后果。酒精会加速药物吸收、加重中枢抑制,可能导致呼吸抑制、心跳骤停。林浩酒后吞药,正是酒精与药物协同作用,加快了意识障碍进展。
03
误区三:家中药物随便放没关系

一片降糖药、降压药,对幼儿而言就可能致命。老人视力不佳,也容易误服药物。专家建议,药物需分类存放、标注清晰,放在老人和儿童够不到处,定期清理过期药物。
那么如果不幸
发现他人已经服药过量
正确的做法是什么呢?

如果发现他人过量服药,先确保环境安全,轻拍呼喊判断意识,立即拨打120并说明症状,保留药瓶、残留药片。对于意识不清者,让其侧卧,清除口腔残留药物,严禁喂食喂水,等待急救人员。对于意识清醒者,应询问服药时间、剂量,保留药瓶、呕吐物,催吐需遵医嘱。需要注意的是,切勿盲目喝牛奶、鸡蛋清,也不要随意服用解**,需由专业医生判断。


来源:深圳晚报

广告

9

主题

5万

帖子

8

听众

Rank: 12Rank: 12

积分
112732
威望
9 点
铜板
56443 枚
西秦金币
0 个
鲜花
388 朵

在线时间
4835 小时
注册时间
2007-12-16
发表于 前天 10:11 来自手机 | 显示全部楼层 | 来自山西
回复

使用道具 举报

4

主题

5万

帖子

3

听众

Rank: 12Rank: 12

积分
105774
威望
4 点
铜板
54784 枚
西秦金币
0 个
鲜花
10 朵

在线时间
3910 小时
注册时间
2020-11-2
发表于 前天 10:13 来自手机 | 显示全部楼层 | 来自四川
危险
回复

使用道具 举报

3

主题

3万

帖子

11

听众

Rank: 12Rank: 12

积分
85410
威望
3 点
铜板
45420 枚
西秦金币
0 个
鲜花
0 朵

在线时间
4446 小时
注册时间
2016-6-3
发表于 前天 10:37 来自手机 | 显示全部楼层 | 来自四川
看看
回复

使用道具 举报

0

主题

3万

帖子

15

听众

Rank: 12Rank: 12

积分
82817
威望
0 点
铜板
43908 枚
西秦金币
0 个
鲜花
0 朵

在线时间
2912 小时
注册时间
2017-3-29
发表于 前天 10:39 来自手机 | 显示全部楼层 | 来自四川
看看
回复

使用道具 举报

31

主题

5万

帖子

14

听众

Rank: 12Rank: 12

积分
108156
威望
31 点
铜板
56853 枚
西秦金币
0 个
鲜花
0 朵

在线时间
4206 小时
注册时间
2016-10-1
发表于 前天 10:41 来自手机 | 显示全部楼层 | 来自四川
回复

使用道具 举报

2

主题

4万

帖子

6

听众

Rank: 12Rank: 12

积分
83054
威望
2 点
铜板
42920 枚
西秦金币
0 个
鲜花
0 朵

在线时间
3257 小时
注册时间
2017-8-16
发表于 前天 11:12 来自手机 | 显示全部楼层 | 来自四川
路过看看
回复

使用道具 举报

5

主题

4万

帖子

14

听众

Rank: 12Rank: 12

积分
92987
威望
4 点
铜板
49563 枚
西秦金币
0 个
鲜花
0 朵

在线时间
4767 小时
注册时间
2012-9-9
发表于 前天 11:26 来自手机 | 显示全部楼层 | 来自北京
回复

使用道具 举报

75

主题

4万

帖子

9

听众

神经病人思路广

Rank: 12Rank: 12

积分
89232
威望
13 点
铜板
47496 枚
西秦金币
0 个
鲜花
15 朵

在线时间
11164 小时
注册时间
2007-1-6
发表于 前天 12:07 来自手机 | 显示全部楼层 | 来自四川
确定不是一时想不开?
回复

使用道具 举报

2

主题

5万

帖子

3

听众

Rank: 12Rank: 12

积分
106150
威望
3 点
铜板
55076 枚
西秦金币
0 个
鲜花
0 朵

在线时间
4707 小时
注册时间
2020-10-18
发表于 前天 12:16 来自手机 | 显示全部楼层 | 来自四川
回复

使用道具 举报

    您需要登录后才可以回帖 登录 | 立即注册

    本版积分规则

    快速回复 返回顶部 返回列表