切换到宽版
 找回密码
 立即注册

QQ登录

只需一步,快速开始

西秦会馆

爆料、咨询:18909006163
广告、合作:13990030637
查看: 5276 | 回复: 3

[盐都杂谈] 浙江一17岁小伙体检时发现胸腔藏了一根5厘米的缝衣针,医生:奇迹!紧贴大血管、刺...

  [复制链接]

1871

主题

2460

帖子

0

听众

Rank: 10Rank: 10

积分
12846
威望
1871 点
铜板
6644 枚
西秦金币
0 个
鲜花
0 朵

在线时间
0 小时
注册时间
2024-9-24
发表于 2026-4-1 15:26:31 | 显示全部楼层 |阅读模式 | 来自四川
一次参军体检,17岁的小陆(化名)竟然发现了自己身体里的一个秘密。
一根5cm长的锈迹斑斑的缝衣针竟悄悄地在他的胸腔深藏多年。这枚针紧贴大血管、刺入肺组织,多年来竟毫无痛感、未发感染、没发生气胸,堪称医学奇迹。
这枚针到底是怎么进去的?小陆自己也是一头雾水,成年后完全没有这方面的记忆。根据小陆父母回忆,十多年前,小陆有阵子莫名哭闹得很厉害,这枚针很可能在他的体内已经存在了十多年。
参军体检突现异常,胸腔藏针吓坏一家人
小陆老家在安徽,从小跟着父母在嘉兴做水果生意,目前在富阳一所职高读书,身体素质想来不错,今年即将毕业。
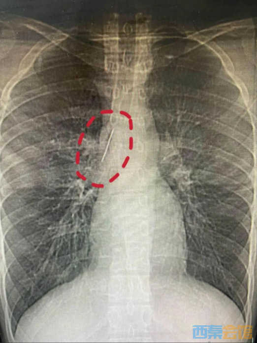
不久前,怀揣军旅梦的他,满怀期待参加征兵体检,没想到胸片结果让医生当场警觉:他的胸腔内有一处明显金属高密度影,形态细长,像一根针。
ScreenShot_2026-04-01_152543_380.png

进一步CT检查确认,异物像是一根金属针,斜插在肺组织内,针尖紧紧贴着胸主动脉、上腔静脉等体内重要血管,稍有位移就可能刺破血管引发致命大出血。
面对检查结果,小陆和父母都懵了。这根针从哪来?为何在体内藏了这么久?更让人诧异的是,针体已刺入肺实质,却没有造成气胸、血胸,没有感染发炎,小陆平时跑跳、运动都毫无异常,从未出现胸闷、胸痛、咳血等症状。小陆父母反复回忆,终于想起十多年,小陆曾莫名长时间哭闹不止,当时没找到原因,也没往异物上想,大概率就是那次意外,针被不慎扎入体内。
十余年“与针共存”,医生连称奇迹
这枚针就像是小陆体内的一枚“不定时**”时刻威胁着小陆的生命安全。家人赶紧带着小陆来到了西湖大学医学院附属杭州市第一人民医院心胸外科。接诊的心胸外科副主任冯兴看到小陆的CT报告也感到不可思议,考虑到异物随时可能移位危及生命,他立刻为小陆安排微创手术。
ScreenShot_2026-04-01_152549_755.png

手术当天,冯兴团队为小陆实施了mini单孔胸腔镜微创手术,t通过高清镜头精准定位到针体附近位置。术中可见,针体已被周围组织包裹,冯兴医生小心分离粘连组织,用专用器械稳稳夹住针体,将其缓慢完整取出。
取出的针体十分完整,长度足足有5厘米,连针眼都清晰完好。整台手术创伤小、出血少、用时短,术后小陆恢复顺利,已顺利康复出院,埋藏在胸腔十余年的“定时**”终于被彻底拆除。
冯兴介绍,胸腔异物、尤其是细长金属针极为凶险。针在体内会随呼吸、体位改变缓慢游走,这根针紧贴大血管、毗邻重要神经,一旦刺破主动脉或肺动脉,会瞬间大出血;刺入支气管可致大咯血;刺破胸膜引发张力性气胸,都可能在短时间内危及生命。
ScreenShot_2026-04-01_152556_533.png

但这根针在小陆体内滞留十余年,既没有引发严重感染,也没有造成肺组织坏死、脓肿,更没有出现气胸,相当于在“生命禁区”安稳待了十几年。冯兴坦言:从医多年极少遇到,能平安无事这么久,真是奇迹。
提醒:儿童异物隐匿风险高发现异常及时就医
冯兴介绍,临床中,儿童、青少年胸腔、腹腔异物并不少见,常见有缝衣针、别针、纽扣、小珠子等。孩子表达能力弱,受伤后可能不会及时告知家长,异物长期滞留体内,会逐步游走、腐蚀组织,引发感染、穿孔、大出血等严重并发症。
冯兴提醒家长,务必照看好孩子,远离针、钉子、玻璃等尖锐细小物品;若孩子出现不明原因哭闹、胸痛、胸闷、咳嗽、发热等症状,及时就医检查;发现体内异物切勿拖延,越早取出风险越低,避免造成不可逆损伤。
来源:FM93交通之声

广告

16

主题

5万

帖子

4

听众

Rank: 12Rank: 12

积分
107688
威望
16 点
铜板
55864 枚
西秦金币
0 个
鲜花
13 朵

在线时间
3816 小时
注册时间
2020-7-31
发表于 2026-4-1 16:23:07 来自手机 | 显示全部楼层 | 来自四川
回复

使用道具 举报

1562

主题

5万

帖子

3

听众

Rank: 12Rank: 12

积分
117931
威望
1562 点
铜板
60816 枚
西秦金币
0 个
鲜花
3 朵

在线时间
5286 小时
注册时间
2021-8-4
发表于 2026-4-1 20:15:18 来自手机 | 显示全部楼层 | 来自四川
晚上好
回复

使用道具 举报

2

主题

1万

帖子

16

听众

Rank: 11Rank: 11Rank: 11

积分
33004
威望
2 点
铜板
19288 枚
西秦金币
0 个
鲜花
1 朵

在线时间
5463 小时
注册时间
2010-12-12
发表于 2026-4-1 23:20:38 来自手机 | 显示全部楼层 | 来自四川
上辈子拯救了银河系吧
回复

使用道具 举报

    您需要登录后才可以回帖 登录 | 立即注册

    本版积分规则

    快速回复 返回顶部 返回列表