找回密码
 立即注册

QQ登录

只需一步,快速开始

自贡在线

爆料、咨询:18909006163
广告、合作:13990030637
自贡在线 首页 自贡新闻 查看内容

自贡市三医院成功开展儿童肱骨髁上骨折前路手术新技术

2016-3-11 15:43| 发布者: 门户管理2| 查看: 913| 评论: 0

摘要: 近日,自贡市三医院骨一科成功开展儿童肱骨髁上骨折前路手术,新技术取得良好疗效,为儿童患者带来了福音。

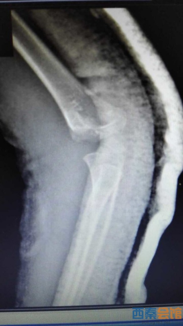
近日,自贡市三医院骨一科成功开展儿童肱骨髁上骨折前路手术,新技术取得良好疗效,为儿童患者带来了福音。




肱骨髁上骨折为儿童常见病,往往需要手术治疗,常规手术为做肘关节内外侧切口,交叉克氏针固定,手术创伤大,伤口瘢痕长,不美观等问题。市三医院骨一科梁涛主任根据患者需求,新引进儿童肱骨髁上骨折前路手术,仅3cm小切口切开复位后,于肱骨内外髁闭合穿针内固定,伤口皮内缝合,不需要拆线,术后伤口愈合快,术后4周可去除石膏托锻炼,术后6周可拔出克氏针,具有创伤小、美观、患者护理方便等优点。目前该5岁患者恢复良好,已出院休养。






该技术的引进及开展为我市儿童肱骨髁上骨折的治疗提供了一个新途径,让广大儿童患者受惠,值得推广应用。

(自贡三医院   梁宇 2016.3.9)


路过

雷人

握手

鲜花

鸡蛋
返回顶部